The vaccine in is the advanced stages of development and is sealing a deal with a global vaccine maker that would initially support further and expanded research, said Australian drug makers CSL. An experimental vaccine is being trialled in mice and, if successful, will proceed to clinical trials in humans within three to four years.
According to the company's chief scientific officer, Dr Andrew Cuthbertson, this study has taken over 10 years to develop the vaccine to this stage.
"CSL is pleased to advise of an agreement with Sanofi Pasteur to undertake a funded program to develop a vaccine for the treatment of periodontal disease caused by Porphyromonas gingivalis," said him.
He also said that the research could also now be expanded to incorporate an antibiotic gel, to be developed alongside a vaccine, for the treatment of those with existing infection.
The research has been continuing in a collaboration between the University of Melbourne and CSL, under the Cooperative Research Centre (CRC) for Oral Health Science.
Professor Eric Reynolds, who is head of the university's dental school and chief of the CRC, said the development of specific products to kill off the bacteria or prevent the gum infection would be a significant oral health breakthrough.
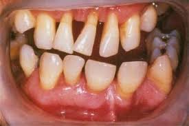
"Periodontitis is a serious disease and dentists face a major challenge treating it, because most people will not know they have the disease until it's too late," said him.
Source: First ever gum disease vaccine underway
According to the company's chief scientific officer, Dr Andrew Cuthbertson, this study has taken over 10 years to develop the vaccine to this stage.
"CSL is pleased to advise of an agreement with Sanofi Pasteur to undertake a funded program to develop a vaccine for the treatment of periodontal disease caused by Porphyromonas gingivalis," said him.
He also said that the research could also now be expanded to incorporate an antibiotic gel, to be developed alongside a vaccine, for the treatment of those with existing infection.
The research has been continuing in a collaboration between the University of Melbourne and CSL, under the Cooperative Research Centre (CRC) for Oral Health Science.
Professor Eric Reynolds, who is head of the university's dental school and chief of the CRC, said the development of specific products to kill off the bacteria or prevent the gum infection would be a significant oral health breakthrough.
"Periodontitis is a serious disease and dentists face a major challenge treating it, because most people will not know they have the disease until it's too late," said him.
Source: First ever gum disease vaccine underway

The First Gum Disease Vaccine

0 Response to "The First Gum Disease Vaccine"
Post a Comment